Çene Kistleri Nedir?
Kist çene kemiği veya yumuşak doku içinde yer alan içi sıvı veya yarı katı kıvamında madde ihtiva eden boşluklardır. Kist boşluklarının etrafı kapsül dediğimiz yumuşak bir doku ile çevrilidir.
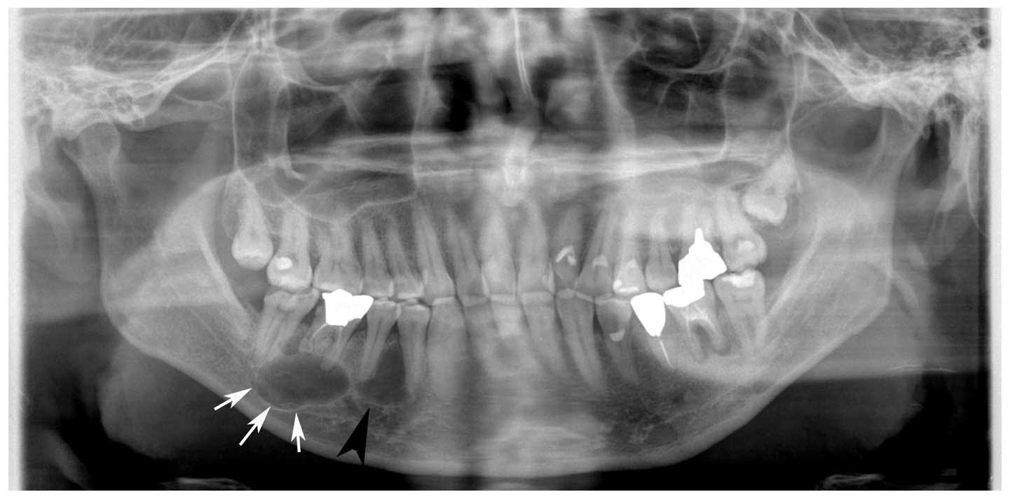
Çene Kistleri Nasıl Farkedilir? Belirtileri Nelerdir?
Çene kistleri ağrıya sebep olmadan yavaş büyüdükleri için kolayca tespit edilemezler. Rutin alınan bir radyografide tesadüfen görülebilirler. Bazen de çok büyüdükleri zaman sinire baskı sonucu uyuşukluk, çene kırıkları, komşu dişlerin yer değiştirmesi gibi belirtilerle kendilerini gösterebilirler.
Çene Kistleri Tedavi Edilmezse Ne olur?
-Çene sinirine yakın bölgedeki kistler büyüyerek sinire baskı yapar ve uyuşukluğa sebep olabilirler.
-Komşu dişleri iterek yer değişikliklerine ve sallanmalarına sebep olabilirler.
-Çok büyük boyutlara ulaşınca çene kırıklarına sebep olabilirler.
-Çenelerde şişliğe sebep olabilirler.
Çene Kistleri Nasıl Tedavi Edilir?
Çene kistlerinin ilaçla tedavisi mümkün değildir. Kistler cerrahi olarak ameliyat ile alınarak tedavi edilir. Lokal veya genel anestezi altında cerrahi müdahale ile kiste ulaşılır. Kist içeriği ve kapsülü temizlenerek alınır ve dikişle kapatılır. Gerekli görüldüğü durumlarda kist kavitesi kemik tozu denen greftler ile doldurulur.
Apikal Rezeksiyon Nedir?
Bazen dişlerin kök uçlarında diş enfeksiyonundan kaynaklı kistler de gelişebilir. Bu kistlerin tedavisinde ilgili dişe kanal tedavisi yapılır. Daha sonra çene cerrahı dişin kök ucundaki kisti ve kist içinde yer alan yaklaşık 1/3 kök ucunu ameliyatla alır. Dikiş ile yara yerini kapatır. Bu işleme apikal rezeksiyon denir. Apikal rezeksiyon tedavisi ile ilgili diş tedavi edilerek ağızda kalması sağlanmış olur.
Çene Kisteleri Ameliyattan Sonra Tekrar Nüks Eder mi?
Çene kistleri iyi huylu lezyonlardır. Çene cerrahisi uzmanı tarafından ameliyatı yapılmalıdır. Dikkatli bir şekilde uzmanı tarafından ameliyatı yapılan bir kist genel olarak nüks etmez.
