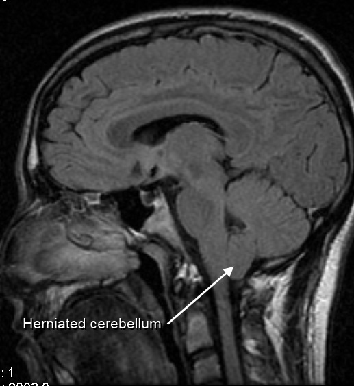
Primer serebellar ektopi olarak da adlandırılır. Serebellar tonsiller foramen magnum düzeyinden 3mm’ den daha fazla üst servikal spinal kanala herniye olmuştur. Bu aşağı kayma omurilik ile kafa içi arasındaki BOS dolaşımını tıkar. Bu sayede syringomyeli yada hidromyeli denilen omurilik içindeki sıvı birikmesine neden olabilir.
Genel nüfusdaki hastalığın görülme sıklığı binde 1’in altındadır. Olguların birçoğunda şikayet yada bulgu olmadığı gibi genellikle başka bir sebepten dolayı o bölgeyi gösteren MRI çekilmesi sonucunda tesadüfen ortaya çıkar.
Bu aşağı kayma omurilik ile kafa içi arasındaki BOS dolaşımını tıkar. Bu sayede syringomyeli yada hidromyeli denilen omurilik içindeki sıvı birikmesine neden olabilir.
Chiari tip 1 olgularının % 30 ila 50 kadarında kafa tabanı gelişim anomalisi eşlik etmektedir. Skolyoz ve hidromyeli olan hastaların % 16-80’inde olabilir ve özellikle çocuklarda olur
Şikayet ve bulgular
Chiari 1 malformasyonu olan birçok hastada herhangi bir şikayet yoktur. Bunun yanında aşağıdaki şikayetlerin biri yada birkaçı beraber olabilir. Şikayetlerin bazıları syrinks (omurilik içinde içi sıvı dolu kavite olması) gelişmesi ile ilgilidir; şiddetli baş be boyun ağrısı, ensede olan ve öksürme, aksırma ve ıkınma ile artış gösteren ağrı olması, kollarda ağrı ve ısı duyusunun kaybı (syrinks kavitesi olanlarda görülür), kas gücünün ellerde ve kollarda kaybolması (syrinks kavitesi olanlarda görülür), düşme atakları ve kas güçsüzlüğü nedeniyle yere kapaklanma, spastisite, baş dönmesi, denge problemleri,çift yada bulanık görme, parlak ışıklara karşı artmış duyarlılık
Teşhis
Chiari malformasyonu tanısı için yapılacak birçok test vardır.
Beyin Sapı Uyarılmış Yanıtları (BAEP): İşitme sisteminin bayin sapı bağlantısı dahil kontrolü için yapılan elektriksel bir testtir. Beyin sapının uygun çalışıp çalışmadığı ortaya konulmuş olur.
Bilgisayarlı Beyin Tomografisi (BBT): X ışınları kullanılarak ele edilen verilerin bilgisayarda şekillendirilmesi ile elde edilen görüntülerden oluşmaktadır. Kafa tasının içini ve kemik yapıları iyi gösterir
Manyetik Rezonans Görüntüleme (MRI): Tam anatomik görüntü elde etmek için önemlidir ve manyetik alan kullandığı için yan etkisi de yoktur. Beyin, beyincik, beyin sapı ve omurilik görüntülenerek Chiari I malformasyonunun tanısı ve eşlik eden ek anomalinin varlığı hakkında bilgi sahibi olunabilir.
Somatosensorial uyarılmış yanıtlar (SSEP): Uyarı vererek uyarının beyin omurilik ve sinirlerden geçişi kontrol edilip fonksiyonu hakkında bilgi verir.
Tedavi
Şikayet yapmayan Chari I malformasyonlarına cerrahi uygulanmamalıdır. Burada profilaktik cerrahi uygun değildir. Her ensesinde ağrı olan veya baş dönmesi, düşme atakları olanda Beyin MRG’de Chiari I Malformasyonu saptandı diye ameliyat edilmemeli. BAEP ve SSEP gibi testlerle nöroloji uzmanı ile birlikte değerlendirilerek diğer ensede ağrı yapan, baş dönmesi ve düşme ataklarına neden olanlar ayırt edildikten sonra cerrahisi düşünülebilir. Eğer hastalık şikayet yapıyor ya da syrinks varsa ilerlemesini durdurmak için cerrahi yapılmalıdır.
Cerrahi
Cerrahinin amacı şikayetleri azaltmak yada syrinks veya şikayetlerin artmasını durdurmaktır. Chiari I malformasyonunda cerrahi tedavide sadece posterior fossa kemik yapısı ve ligamentler çıkarılır, kemik ligament ve duranın açılıp duraya yama yapılır. En son tedavi yöntemi ise kemik ligament çıkarılması, duranın açılması ve serebellar yapışıklıkların temizlendikten sonra duranın yama ile kapatılması şeklindedir.
