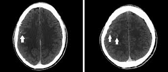
Subaraknoid kanama (SAK) akut başlangıçlı, ani ve şiddetli baş ağrısı ile ortaya çıkan klinik bir durumdur. Baş ağrısına ilaveten ciddi bulantı, kusma, baş dönmesi, konfüzyon, ajitasyon, fokal nörolojik defisitler ve kan basıncı yüksekliği görülebilir. Kanamadan 6-24 saat sonra meningeal irritasyon bulguları bu klinik duruma eklenebilir.
Dijital substraksiyon anjiografi (DSA) diğer görüntüleme tetkiklerine ek olarak, vasküler anormalliklerin tanısı amacıyla, cerrahi veya endovasküler tedavi planlaması için kullanılmaktadır. İşlem sonrası %0.2-%4.5 oranında nörolojik komplikasyonlar görülebilmektedir. Ortalama % 50 hastada ise DSA işlemi sonrası baş ağrıları olabilmektedir.
Özellikle kadın hastalarda bu oran daha fazladır. Ağrılar sıklıkla migren, gerilim veya postoperatif atipik baş ağrıları sınıfına dahil edilebilir. DSA sonrası şiddetli baş ağrısı görülme sıklığı azdır. Bu nedenle işlem sonrası şiddetli baş ağrılarında öncelikle damar duvarı rüptürü düşünülmelidir. Diğer tüm sekonder nedenler dışlandıktan sonra, DSA sonrası SAK benzeri baş ağrılarının görülebileceği de akılda tutulmalıdır.
