Özel Sağlık Hastanesi Robotik Cerrahi Direktörü Prof. Dr. Burak Turna, prostat kanseri tanısında kullanılan “MR Füzyon Biyopsi” teknolojisiyle prostattan daha isabetliörnekler aldıklarını, tedavi başarısının da yükseldiğini söyledi.
Klasik biyopside prostattaki rastgele alanlardan parça alınarak tanı konulmaya çalışıldığını belirten Prof. Dr.Turna, MR Füzyon Biyopsisinde gelişmiş görüntüleme ve işaretleme sistemiyle birlikte tümörlü bölgeden nokta atışı örnekleme alınabildiğini ifade etti.
100 HASTAYA UYGULANDI
Özel Sağlık Hastanesinde uzman hekim kadrosuyla birlikte kısa sürede 100 hastaya MR Füzyon Biyopsisi yaptıklarını kaydeden Prof. Dr. Burak Turna, “Özel Sağlık Hastanesi, kısa bir sürede 100’üncü MR Füzyon Biyopsi işlemini (akıllı prostat biyopsisi) yaparak Ege Bölgesi’nde öncü olmaya devam ediyor. Bu işlemi alanında 3 uzman doktorla birlikte yaparak bu konuda multidisipliner çalışmanın faydalarını da görüyoruz. Gerçekleştirdiğimiz 100 prostat kanseri biyopsisinde % 100’e varan bir doğruluk oranıyla prostat kanseri teşhisinde çok önemli bir süreci geride bıraktık. Daha sonraki tedavi sürecini de doğru yönetebilmek adına çok önemli bir ilk adım atmış olduk. MR Füzyon Biyopsi ile gereksiz biyopsi tekrarları önlenir. Klinik olarak saldırgan tümörlere daha hızlı tanı konur ve gereksiz tedavi uygulanmasının önüne geçilir. Biyopsi sonuçları hafızaya alınır ve daha sonraki takip protokolleri için yarar sağlar. Klasik yöntemle biyopsi alınamayacak alanlara ulaşılmasını da kolaylaştırır. İşlem günübirlik bir küçük müdaheledir ve lokal anestezi ile yapılır. Hastalar için son derece komforlu ve güvenlidir.” ifadelerini kullandı.
AVANTAJ SAĞLIYOR
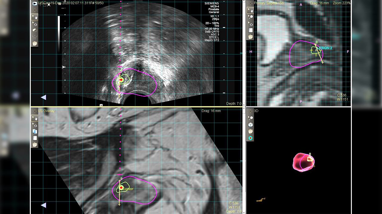
Özel Sağlık Hastanesi Üroloji Birimi Uzm. Op. Dr. Emir Akıncıoğlu, MR Füzyon Biyopsi’nin sağladığı görüntüleme sistemiyle hastalara doğru tanı koymada önemli bir avantaj elde ettiklerini dile getirdi.
Op. Dr. Emir Akıncıoğlu, sözlerine şöyle devam etti: “MR Füzyon Biyopsi cihazıyla klasik biyopside atlanabilecek olan kanser odakları başarılı şekilde tespit ediliyor ve tam olarak belirlenen hedef noktalardan örnekler alınabiliyor. Bunun için önce MR filmi çekiliyor, sonrasında kanser şüpheli yerler belirlenerek füzyon biyopsi cihazına görüntüler yükleniyor. Ardından işlem esnasında gerçek zamanlı olarak ultrason ve MR görüntüleri örtüştürülüyor. İşlem sırasında şüpheli yerlerden tam isabet ile örnekleme yapılabiliyor. Hastalıklı prostatlı dokularının gözden kaçırılması riskini neredeyse sıfıra indiriyoruz. Bunun için teknoloji ve tecrübe gerekiyor. Biz de ekip olarak son bir yıl içerisinde 100’den fazla hastaya başarıyla bu işlemi uyguladık. En yüksek standartlarda hastalarımıza hizmet vermeye de devam ediyoruz”
