- Uzun süreli ağrı
- hareket etme zorluğu
- derinde hissedilen, ayak bileği ağrısı
- Şişlik (aktivite ile artar)
- boşalma duygusu ve güvensizlik
- yerinden ayrılmış lezyonlarda kilitlenme
Atravmatik lezyonlu hastaların birden fazla eklemlerinde, osteokondral lezyon görülebilmekte ve bu da iskemik olaylar, hormonal etkenler, genetik veya diğer yapısal anomaliler gibi travma dışı nedenleri desteklemekte
Bilateral( % 10) görülmesi iskemi lehine
Ayak bileği burkulması sonrası, 6-12 hafta geçmesine karşın yakınmaları süren olgularda,
TOL düşünülerek grafi çekilmeli
Grafiler normal bile olsa, yakınma varsa
- Bilgisayarlı tomografi(BT),
- Manyetik rezonans görüntüleme (MRG)
- Sintigrafi yapılmalıdır.
- grafilerde osteokondral bulgular varsa BT
- Olgunun yaşı, aktivitesi,
- Lezyonun lokalizasyonu
- Büyüklüğü,
- Stabilitesine,
- Kıkırdağın sağlamlığına
- Subkondral sağlam kemik olup olmamasına göre tedavi seçilmelidir.
- Cerrahi tedavi seçenekleri
- Kıkırdağın sağlam olmadığı olgularda
- 1 cm kareye kadar lezyonlarda: debritman ve drilleme/ mikrokırık
- 1-1.5 cm kare olanlarda: debritman ve drilleme/ mikrokırık ya da Osteokondral otogreft
- 1.5 cm karenin üstü: osteokondral otogreft, Otolog kondrosit transplantasyonu
- geniş lezyonlar : Otolog kondrosit transplantasyonu ya da allogreft
- Talusta yerleşmiş lezyon un debritman sonrası görüntüsü
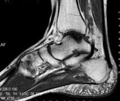
- 1.5 cm kareden dah büyük bir lezyonun MRG görüntüsü
