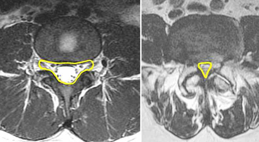
Omurilik kanal darlığı ( spinal stenoz )

Omurgaların içerisinde omuriliğin geçtiği kanalın çapı bel, sırt, boyun bölgesinde farklılık gösterir. Bu kanalın çapı yüzde 25 daralmışsa hafif, yüzde 25-50 daralmışsa orta, yüzde 50 üzeri daralmışsa şiddetli dar kanal (spinal stenoz) adı verilir. Kanal darlığı; yaşla birlikte bağların kalınlaşması, kireçlenmelere bağlı kemik çıkıntılar, bel fıtığı, omurga kırıkları, kemik erimesine bağlı omurgaların çökmesi, tümörler ve ameliyat sonrası gelişen komplikasyonlara bağlı görülebilir. Dar kanal en çok bel bölgesinde L2-L5 omurlar arası ve boyunda C4-C7 omurları arasında görülür. Omurga ve içindeki yapılar; yani disk, bağlar, kemik yapı, sinirler veya damarların normalden daha fazla genişlemesi ve kanala bası yapması sonucu diğer yapılara kalan alanın daralması ile oluşur. Basit anlatımla içerisinden su akan bir hortum düşünün. Bu hortumun 2-3 yerde üzerine taş koyduğunuzda hortumdan geçen suyun az aktığını ve zorlandığını görürüz. Dar kanalda da benzer durum oluşur.
Nöroşirurji Uzmanı Beyin Omurilik Sinir Cerrahisi Uzmanı Melih EROL
Dar kanalı olan hastaların en önemli yakınması ağrıdır. Bel bölgesindeki dar kanal ağrısı bacaklara, boyun bölgesindeki daralmaların ağrısı da kollara doğru yayılır. Beraberinde uyuşma, karıncalanma ve his kaybı olabilir. Daha ileri evrelerde kuvvet kaybı ve idrar kaçırma gibi bulgular da ortaya çıkabilir. Bel bölgesindeki daralmalarda yürüme mesafesi giderek kısalır. 15-20 dakika yürüdükten sonra bacaklardaki ağrı ve yorgunluk hissi çok artar ve hastalar durup dinlenmek ihtiyacı duyarlar. Bir süre dinlenince ağrı azalır ve tekrar yürümeye başlanabilir. Sinirler üzerindeki sıkışmayı azaltmak için bazı hastalar öne eğilerek yürümeyi tercih ederler. İstirahat ağrısı ve gece ağrısı sinir baskısının fazla olduğu durumlarda ortaya çıkabilir. Dar kanala bağlı sinirlerin sıkışması, bacaklarda başka sebeplere bağlı olan ağrının da fazla hissedilmesine sebep olur. Örneğin kalça veya diz eklemindeki kireçlenmeye bağlı ağrılar, dar kanalı olan hastalarda daha fazla hissedilir. Hem diz/kalça hem de bel sorunu olan hastalarda, önce dar kanal sorununun tedavisi yapılır, sonra diz veya kalçaya yönelik cerrahiler yapılır.
Ayrıntılı bir hastalık hikayesi ve muayene sonrasında tanı büyük oranda konabilir. Tanıyı kesinleştirmek ve tedaviyi planlamak için hastaya düz röntgen filmi, manyetik rezonans görüntüleme (MRG), Bilgisayarlı Tomografi (BT), öne ve arkaya eğilme grafileri kullanılır.
Dar kanalın kesin tedavisi cerrahidir. Ancak erken ve şikayetlerin yoğun olmadığı dönemlerde istirahat, korse ile bel hareketlerini azaltmak, ilaç ve fizik tedavi faydalı olabilir.
Medikal tedaviye cevap vermeyen, şikayetlerin şiddetli olduğu, özellikle kanal çapının 9 mm ve altında olduğu durumlarda cerrahi tedavi gereklidir.
Cerrahi tedavide amaç omurilik ve sinirler üzerindeki basıyı kaldırmaktır. Bunun için omurilik kanalının arka bölümünü oluşturan kemikler, eklemler ve kalınlaşmış bağlar çıkarılır. Ön tarafta bozulmuş diskler çıkarılıp, bu bölümler metal kafeslerle desteklenir. Arka tarafa yerleştirilen vidalarla omurganın bütünlüğü ve dengesinin korunması sağlanır.
iletişim ; op*************@*****il.com








