çene kistleri
-
Ağız ve Diş Sağlığı
Çene Kistleri
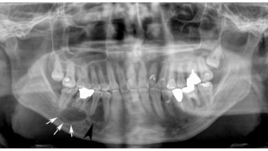
Çene Kistleri Nedir? Kist çene kemiği veya yumuşak doku içinde yer alan içi sıvı veya yarı katı kıvamında madde ihtiva…
Devamını Oku »
Çene Kistleri Nedir? Kist çene kemiği veya yumuşak doku içinde yer alan içi sıvı veya yarı katı kıvamında madde ihtiva…
Devamını Oku »