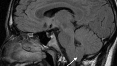
Chiari tip1 malformasyonu
-
Nöroloji-Beyin, Sinir Sağlığı
Chiari tip1 malformasyonu
Primer serebellar ektopi olarak da adlandırılır. Serebellar tonsiller foramen magnum düzeyinden 3mm’ den daha fazla üst servikal spinal kanala herniye…
Devamını Oku »
