kanama
-
KBB (Кulak Burun Boğaz)
Burun kanamalarında buruna peçete veya pamuk sokmayın!
Çocuklarda burun kanamasının genellikle üst solunum yolu enfeksiyonları veya hava değişimi gibi nedenlerden kaynaklanabildiğini kaydeden uzmanlar, yaşlılarda burun kanamasının ise…
Devamını Oku » -
Ağız ve Diş Sağlığı
Hamilelik Sırasında Ağızda ne gibi değişiklikler olur?
Diş Hekimi Denizhan Uzunpınar Konu Hakkında Bilgiler Verdi. • Hormon seviyelerindeki ani artış dişeti iltihaplarına eğilimi artırır. Eğer dişler ve dişetleri üzerinde…
Devamını Oku » -
Ağız ve Diş Sağlığı
Gebelik Planlayan Anne Adayları Diş Hekimi Kontrolünden Geçmeli !
Hormon seviyelerindeki ani artış dişeti iltihaplarına eğilimi artırır. Eğer dişler ve dişetleri üzerinde biriken plak yeterince temizlenemezse kolaylıkla dişeti iltihabı…
Devamını Oku » -
Gebelik ( Hamilelik ) Tüp Bebek
Vajinal Kanama ve Gebelik
Vajinal kanama çoğunlukla gebeliğin ilk 3 ayında olur ve her zaman bir problem habercisi değildir. Ancak 2. ve 3. trimesterde…
Devamını Oku » -
Gebelik ( Hamilelik ) Tüp Bebek
Riskli Gebelik Düşük Sonrası Kürtaj
Düşük Sonrası Kürtaj Maalesef düşük en sık rastlanan gebelik kaybı. Tanısı konulan gebeliklerin yaklaşık %10-25 i Düşük ile sonlanmakta ve çoğunluğu ilk…
Devamını Oku » -
Gebelik ( Hamilelik ) Tüp Bebek
Gebelik Zehirlenmesi; HELP Sendromu
Gebelik Zehirlenmesi; HELP Sendromu HELP sendromu hamilelikte gebeyi etkileyen bir rahatsızlık. HELP sendromu preeklampsinin bir çeşidi olarak düşünülse de preeklampsiyi de kapsar. HELP sendromu ile…
Devamını Oku » -
Gebelik ( Hamilelik ) Tüp Bebek
Kürtaj-Küretaj
Gebeliğin sonlandırılmasıdır. Yasal olarak çocuk aldırma 10 haftaya kadar olan gebeliklerde yapılır. Daha büyük gebeliklerin sonlandırılabilmesi için ilaç kullanımı, gebeliğin…
Devamını Oku » -
Hematoloji ( Kan Hastalıkları )
Pıhtılaşma Bozukluğuna Bağlı Kanamalar
Bir yerimiz kanadığı zaman, kanamayı durdurmak üzere pıhtılaşma başlar ve oluşan pıhtı damarın kanayan yerinde bir tıkaç meydana getirerek kanamayı…
Devamını Oku » -
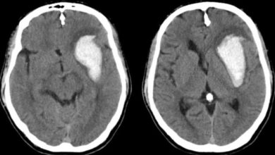
Nöroloji-Beyin, Sinir Sağlığı
Subdural-Epidural Kanama
Kafatası kemiğinin altında beyni koruyan ‘’Dura’’ adı verilen bir zar vardır.Kafatası kemiği ile Dura arasında bir kanama varsa (Dura’nın üstündeyse)…
Devamını Oku » -
Bebek ve Çocuk
Non-Hodgkin Lenfoma
Non Hodgkin Lenfoma, lenfosit serisi hücrelerinin kontrolsüz çoğalması ile karakterize malin bir hastalıktır. Lenf bezi, peyer plakları ve dalak gibi…
Devamını Oku »









