1- Çapraşıklık
Çenelerin küçük ya da çenelerin boyutlarının normal ancak dişlerin büyük olduğu durumlarda meydana gelen ortodontik problemdir. Erken tanıda küçük yaşlarda takılıp çıkarılabilen hareketli apareylerle problemi çözmek mümkündür. Daimi dişlenmenin (tüm kalıcı dişlerin ağızda sürdüğü) tamamlandığı durumlarda ise tek başına sabit ortodontik tedavi ile çapraşıklığı çözmek mümkün olabildiği gibi çapraşıklığın belli oranın üzerinde olduğu vakalarda yer kazanmak amacıyla uyguladığımız farklı tedavi yöntemleriyle ve/veya çekimli ortodontik tedaviyle çeneler ve dişler arasındaki armoni sağlanır.

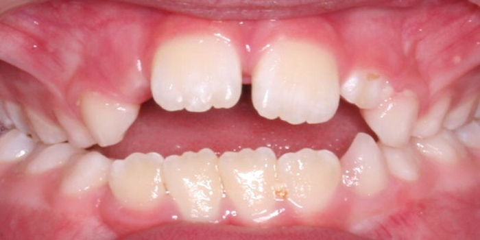
2-Aralıklı Dişler (Diastema)
Diş ve çene büyüklükleri arasındaki uyumsuzluk sonucu oluşur. Sabit ortodontik tedavi yöntemleriyle bu problemi düzeltmek mümkündür. Süt dişlerle kalıcı dişlerin ağızda beraber olduğu karma dentisyon döneminde özellikle üst çenede ön iki diş arasında mevcut aralığın sebebi ise çoğunlukla frenilum ismindeki kas ataçmanının olması gerekenden daha aşağıda diş etine tutunmuş olmasıdır. Basit bir cerrahi müdahale ve beraberinde sabit ortodontik tedaviyle bu estetik problemi düzeltmek mümkündür. Dişler arasındaki aralıkların bir diğer sebebi de, anormal dil alışkanlığı olarak nitelendirdiğimiz dilin devamlı dişlerin arasında bulunma durumdur. Bu tip vakalarda ise erken dönemde bu alışkanlığı ortadan kaldıran bir yöntemle tedavi mümkündür.
3-Örtülü Kapanış, Derin Kapanış (Deep Bite)
Normal kapanışta üst ön dişlerin alt ön dişleri en fazla 2 mm olacak şekilde örtmesi beklenirken, örtülü kapanış dediğimiz bozukluklarda bu örtüm 2 mm’den fazladır. Şiddetli vakalarda ise üst ön dişler alt ön dişleri tamamen örtebilmektedir. Bu tip bozuklukların en önemli komplikasyonu çene eklemine uygulanan fazla kuvvet sonucu eklemde oluşan gerilme ve sonucunda temporomandibular eklem bozukluklarının oluşmasıdır. Sabit ortodontik tedaviyle her yaşta bu problemi düzeltmek mümkündür.
4-Çapraz Kapanış
Yan arka dişlerde veya ön dişlerde çapraz kapanış olarak ortaya çıkabilir. Yan çapraz kapanışlar üst çenenin dar olduğu durumlarda ortaya çıkar ve tedavi edilmezse eklem problemlerine yol açar. Çeşitli yöntemlerle tedavisi mümkündür.
5-Açık Kapanış
Karşılıklı gelen dişlerin temas etmediği zaman ortaya çıkan bozukluklardır. Açık kapanış vakaları çoğunlukla kötü alışkanlıklar olarak nitelendirdiğimiz parmak emme, dil emme, anormal dil alışkanlıkları, bebeklikte uzun süreli emzik ve biberon kullanımı, ağız solunumu gibi durumların varlığında görülür. Erken dönemde doğru tanıyla bu alışkanlıkları tedavi mümkündür. Erişkin bireylerde ise sabit ortodontik tedaviyle hafif şiddetli vakalarda düzelme sağlanabilir ancak alışkanlık devam ediyorsa problemin tekrarlanması kaçınılmazdır.
6-Eksik Dişler
En sık rastlanılan eksik dişler üst lateral (ön ikinci diş) ’lerdir. Diş eksikliğinin genetik başta olmak üzere pek çok nedeni vardır. Diş eksikliği durumunda eksik olan dişin yanındaki dişler bu boşluğa doğru eğilebilir ve kapanış bozuklukları oluşabilir. Bu gibi durumlarda ortodontik tedaviyle boşluk kapatılabilir.
7-Gömülü Dişler
En sık rastlanan gömülü dişler köpek dişleridir. Gömülü dişin pozisyonu uygunsa sabit ortodonik tedaviyle gömülü diş ağız içerisine getirilebilir. Pozisyonunun uygun olmadığı durumlarda ise gömülü dişin üzeri açılır ve sabit ortodontik tedaviyle diş yerine getirilip doğru fonksiyon ve estetik sağlanır.
Çene Anomalileri
Protrüze dişler dediğimiz diş bozuklukları, üst çenenin alt çeneye göre daha önde konumlandığı vakalarda görülür. Alt çene gelişiminin az olabilir ya da üst çene gelişimi alt çeneye göre daha fazla olabilir veya her iki gelişim bozukluğu bir arada görülebilir. Şiddetli olduğu vakalarda alt dudak üst ön dişlerin arkasında konumlanabilir ve üst dişleri öne doğru iterek bozukluğun artmasına sebep olabilir. Bu tip vakalarda alt dişler üst dişlerin arkasındaki diş etini yaralayabilir. Yine bu tip vakalarda üst dişler önde konumlandığı için olası travmalar (çeşitli düşme ve çarpmalar) sonucunda üst dudakta ve diş etinde yaralanmalar olabilir. Büyümekte olan çocuklarda (ergenlik dönemini tamamlamamış), bu tip vakaların tedavisinde problemin olduğu çeneye uygun fonksiyonel yöntemlerle tedavi uygulanır. Erişkin bireylerde ise bu problemin çözümü sabit ortodontik tedaviyle mümkündür. Erişkin bireylerde çok şiddetli vakalarda çeneler arası armoniyi sağlamak için ortognatik cerrahi de düşünülebilir.
Alt Çene İleriliği veya Üst Çene Geriliği
Bu vakalarda tersine derin kapanış denilen alt ön dişlerin üst ön dişlerin önünde yer aldığı ortodontik bozukluklar mevcuttur. Bu problemler çene ekleminde düzensizliklere ve eklem rahatsızlıklarına yol açabilir. Erken dönemde uygun yöntemler problemi düzeltebileceği gibi, şiddetli vakalarda yumuşak dokuda ve çeneler arasında düzgün ilişkiyi sağlamak için ortognatik cerrahi uygulanabilir.







