Beyin anevrizmaları

Anevrizma, beyindeki atardamar duvarının zayıflaması sonucu ortaya çıkan bir balonlaşma olup sıklıkla damarların çatallanma bölgelerinde görülür. Bu balonlaşan yapı normal damara göre daha dayanaksızdır ve bazı koşullar altında yırtılıp beyin içine kanamaya yol açarak yaşamı tehlikeye sokabilir. Anevrizmalar doğuştan damarın gelişme bozukluğuna bağlı olabileceği gibi yüksek tansiyon, damar sertliği (ateroskleroz), enfeksiyonlar (damarın iltihaplanması) veya kafa travması sonrası da gelişebilir. Anevrizmalar çoğunlukla beynin tabanında yerleşir ve buradaki beyin-omurilik sıvısı içinde kanamaya neden olurlar. Anevrizmaların yıllık kanama riski yaklaşık yüzde 1’dir.
Anevrizma Tipleri: Sakküler (kese biçimli) anevrizmalar: En sık görülen anevrizma tipi olup beynin tabanında büyük damarların çatallanma bölgelerinde oluşur. Bu çatallanma noktalarında damar duvarı daha fazla basınca maruz kalmaktadır. Bu sabit basınç zamanla damar duvarında oluşturduğu hasar sonucu balonlaşmaya neden olabilir. Sakküler anevrizmalar yıllar içerisinde gelişir ve bundan dolayı anevrizmanın yırtılma riski yaşla birlikte artar. Anevrizmanın bu şekildeki gelişmesini eskiden araçlarda kullanılan tekerlek iç lastiklerinde görülen balonlaşmaya benzetebiliriz. İleri yaşlarda damar yapısının bozulması sonucu damar duvarının esnekliğini kaybetmesi de anevrizma oluşmasında diğer önemli bir nedendir.
Nöroşirurji Uzmanı Beyin Omurilik Sinir Cerrahisi Uzmanı Melih EROL
Fuziform (iğ biçimli) anevrizmalar: Bu anevrizma damarın uzunca bir bölümünü içeren iğ şeklinde bir genişleme olarak görülür. Bu tip anevrizmalar da yırtılarak kanayabilir, ileri derecede genişleyip çevresindeki beyin dokusunda baskıya yol açarak veya içinde pıhtılaşma gelişip buradan ayrılabilen kalıntıların normal beyin damarlarında tıkanmaya (emboli) neden olması ile inme benzeri yakınmalar oluşturabilir.
Mikotik (iltihap sonucu gelişen) anevrizmalar: Nadir olup damarın mikrobik hastalığı sonucu gelişir. Genellikle kese biçimlidirler. İltihap damar duvarında hasara neden olur böylece duvar zayıflaması sonucu anevrizma oluşumu ve bunun yırtılma riski artar. Sıklıkla subakut bakteriyel endokarditin (toplumumuzda ‘kalp romatizması’ olarak bilinir) bir komplikasyonudur.
Travmatik (kaza sonucu gelişen) anevrizmalar: Beyin kan damarlarında kaza sonrasında gelişen anevrizma türüdür. Travma bölgesinde hasar gören damar duvarı zayıflar ve sonrasında yırtılabilir.
Beyin anevrizmasına bağlı gelişen beyin kanaması sıklığı bir yılda 100.000 kişide 10-15 civarındadır. Ülkemizde her yıl ortalama 10.000 kişinin anevrizmaya bağlı beyin kanaması riski taşıdığı kabul edilebilir. Bu hastaların yaklaşık 1/3’ü herhangi bir sağlık kuruluşuna başvuramadan kaybedilmektedir. Bir sağlık kuruluşuna başvurabilen kanamış hastalarda da ölüm oranı yüzde 25-40 arasındadır. Dolayısıyla anevrizması kanamış hastaların yarıya yakını kaybedilmektedir. Burada önemli bir nokta henüz kanamamış olan ancak hastayı yine de risk altında bırakan beyin anevrizmalarının erken teşhis edilmesi ve tedaviye yönlendirilmesidir. Anevrizma her yaş grubunda görülebilir ancak 25 ve yukarı yaşlarda sıklık giderek artmaktadır. Yaygınlığı en sık olarak 50-60 yaş arasındadır ve kadınlarda erkeklerden 3 kat daha fazla görülmektedir. Ailede anevrizma hikayesi olması diğer aile bireylerinde anevrizma bulunma riskini arttırmaktadır. Bir kişide aynı anda birden çok sayıda anevrizma bulunması bu riski daha da artırmaktadır. Anevrizmanın oluş nedeni tam olarak bilinmese de birçok faktörün gelişiminde rolü olduğu bilinmektedir: 1) Hipertansiyon (yüksek kan basıncı); 2) Sigara içilmesi/nikotin kullanımı; 3) Şeker hastalığı; 4) Aşırı alkol tüketimi; 5) Doğuştan gelen (genetik) yatkınlık; 6) Kan damarlarına hasar(özellikle damar sertliği) veya travma ve 7) Bazı enfeksiyonlar.
Anevrizma yırtılması/kanaması olan hastalarda bazı uyarıcı işaretler görülebilir: Bunlar
Herhangi bir bölgede ısrar eden baş ağrısı
Bulantı ve kusma
Ensede sertlik (kişi başını kolay eğemez)
Bulanık veya çift görme
Işığa karşı hassasiyet (fotofobi)
His kusurlarıdır.
Kanamamış anevrizması olan kişilerin çoğunda hiçbir belirti görülmeyebilir. Az bir hasta
grubunda aşağıdaki belirtilerin bazıları veya tümü görülebilir:
Göz sinirlerinde felçler (göz kapağının düşmesi, gözü rahatça hareket ettirememe gibi)
Tek taraflı genişlemiş göz bebeği
Çift görme, gözün arkası veya üstünde ağrı
Bir bölgede ısrar eden baş ağrısı
İlerleyen halsizlik ve uyuşukluk
Anevrizmalar yırtıldığında sıklıkla subaraknoid (beyin ve beyin ince zarı arasına) kanama (SAK) gelişir. Damardan subaraknoid mesafeye yüksek basınç ile geçen kan burada birikerek beyne bası oluşturabilir, kanama beynin içine de olabilir; kan elemanları aynı zamanda daha düşük basınca sahip omurilik çevresine de ulaşabilir. Anevrizmadan olan kanama bazen sızma şeklinde de olabilir; bu durumda sızma noktasında küçük bir pıhtı oluşup kanamayı durdurabilir ve hasta yaşayabilir. Ancak pıhtının yol açtığı bu süreç tekrar kanama riskini önlemez; her ek kanamada yaşam daha fazla tehlikeye girer ve hayatta kalma ihtimali azalır. Kendiliğinden (spontane) gelişen SAK’ların çoğunun nedeni anevrizmalardır. Anevrizmanın yerinin, büyüklüğünün ve konfigürasyonunun tam olarak saptanması tedavisi ve dolayısı ile yeniden kanamanın önlenmesinde kritik bir noktadır. Bir kanama sonrası tekrar kanama ihtimali ilk 14 gün için yüzde 20 civarındadır. Beyin çevresine sızan kan damarlarda daralmaya (vazospazm) yol açabilir. Bu durum beyin dokusuna gelen kan akımında azalmaya ve dolayısıyla inmeye neden olabilir. Vazospazm genelde kanamadan 5-8 gün sonra gelişir. Tedavisi oldukçazordur, hastanın yaşamını tehlikeye sokabilir. Kanamış bir anevrizmadan sızan kan beyin-omurilik sıvısı (BOS) dolaşımını engelleyerek hidrosefali (beyinde aşırı sıvı birikmesi) dediğimiz tabloya eden olabilir. Bu durumda beyinde ventrikül dediğimiz boşluklarda aşırı sıvı birikerek kafa içi basıncının artmasına neden olabilir. Bu sıvı artışını engellemek için bu boşluklara dren yerleştirilerek biriken sıvı ve sızan kan dışarı alınmalıdır. Anevrizma kanaması beyin ödemi veya şişmesine de neden olabilir. Bu durum beyin fonksiyonlarını etkileyerek çok ciddi problemlere yol açar. Beyin dokusunun şişmesi ve basıncının artması beyin dokusuna zarar verir. Beyin ödemi kan damarlarında bası oluşturarak beyne kan gitmesini yavaşlatabilir.
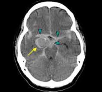
Tanı Beyin Tomografisi ,Beyin Emarı vede Beyin anjiografisi ile yapılır. Tedavisi cerrahi olarak anevrizmanın kliplenmesi ya da uygun anevrizmalarda kasıktan girilerek anjio ile anevrizmanın tıkanması (coillenmesi) şeklindedir.
Özet: Anevrizma kanamaları çok acil birim durum olup hastaya çok hızlı bir şekilde müdahale edilmelidir. Malesef bu hastalarımızın çoğu hastaneye ulaşmadan kaybedilmektedir.
iletişim ; op*************@*****il.com










