dural avf
-
Girişimsel Radyoloji
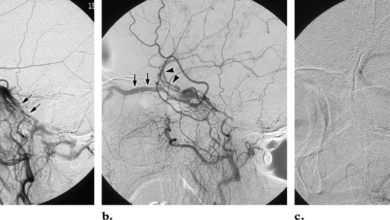
Dural arteriovenöz fistüller (dural avf, davf)
Dural arteriovenöz fistül (Dural AVF) nedir? Dural arteriovenöz fistüller (Dural AVF’ler), beyni saran ve dura denen tabaka yüzeyindeki arterler (atardamar)…
Devamını Oku » -
Girişimsel Radyoloji
Dural arteriovenöz fistüller (dural avf, davf)
Dural arteriovenöz fistül (Dural AVF) nedir? Dural arteriovenöz fistüller (Dural AVF’ler), beyni saran ve dura denen tabaka yüzeyindeki arterler (atardamar)…
Devamını Oku »

