Prof. Dr.Hasan Fevzi Batırel
-
Beslenme ve Diyet
Yemek Borusu Kanserinin İlk Belirtisi Yutma Güçlüğü Olabilir
Yutma güçlüğü ve boğazda takılma pek çok insanın belirli nedenlerle yaşadığı basit şikayetler gibi algılanabiliyor ancak kimi zaman yemek borusu…
Devamını Oku » -
Kadın Hastalıkları
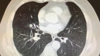
Bir bu tabir eksikti – akciğerde nodül
Hepimiz kanser veya selim tümör kavramlarını iyi biliyoruz. Fakat son yıllarda radyoloji raporlarını dikkatli inceleyen kişiler, akciğerde 3 mm, 5…
Devamını Oku »

