Kadın HastalıklarıKanser & Onkoloji

Bir bu tabir eksikti – akciğerde nodül

Hepimiz kanser veya selim tümör kavramlarını iyi biliyoruz. Fakat son yıllarda radyoloji raporlarını dikkatli inceleyen kişiler, akciğerde 3 mm, 5 mm nodül şeklinde siyah punto ile yazılmış tabirleri görünce soğuk ter dökmeye başlıyorlar.

Eyvah kansere yakalandım diye…

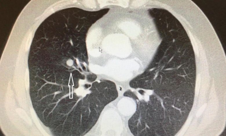
Önce nodül ne demek ona bakalım. Nodül tabir olarak, normal olmayan doku büyümesi demek. Normal olmayan büyüme deyince aklınıza hemen kanser gelmesin. Aslında cildimizdeki benlerde anormal doku büyümesi. Aynı şekilde tiroid bozuklukları olan kişilerde, guatrda nodüller sık görülüyor. Veya memede olan anormal doku büyümeleri de nodül olarak tabir ediliyor. Nodülün en önemli özelliklerinden biri, çevresindeki dokuya göre daha yoğun ve sert kıvamda olması. Eğer cilt altında ise, sert dokuyu elimizle hissediyoruz. Bazen ağrılı da olabiliyor. Gelelim akciğerdeki nodüllere; Nodül 3 cm’den küçük anormal doku büyümesi demek. Akciğerde sert kıvamlı bir nodül 1 cm’den
büyükse, hekimler olarak bizler tedirgin olmaya başlıyoruz.

Prof. Dr.Hasan Fevzi Batırel
Prof. Dr.Hasan Fevzi Batırel

Öncelikle sert kıvamdan ne kastediyoruz?

Nodülün kıvamına tomografi ile karar veriyoruz. Tomografi bize radyasyon ışınları ile insan vücudunu istediğimiz kalınlıkta ve yönde dilimleyebilmemizi sağlıyor. 1 mm’den 10 mm’ye kadar. Böylece nodülü üç boyutlu olarak analiz edebiliyor, boyutunu, hacmini ve şeklini ortaya koyabiliyoruz. Bazı nodüller zatürreyi andırıyor. Bazıları ise denizkestanesini, küçük bir lastik topu veya yer elmasını andırabiliyor. Bu şekillerin hepsi bize nodülün kanser olup olmadığı konusunda fikir veriyor. 3 cm’den küçük dokulara nodül diyoruz, ama 1 cm sınırı bizim için önemli. Niye mi? Çünkü akciğer kanserini 1 cm’den küçük yakaladığımızda hastalarımızın neredeyse tamamını (%90’ın üzerinde başarı şansı var) iyileştirebiliyoruz. Bu oran 2 cm’de %80’e, 3 cm’de %70’e düşüyor. Boyut arttıkça akciğer kanserinden kurtulma ihtimalimiz tedricen azalıyor. %10 önemlidir, hele terazinin bir tarafında insan hayatı olunca daha da önemli hale geliyor.

Kimler için nodüller risk oluşturuyor?

Sigara içiyorsanız ve 55 yaşın üzerinde iseniz, akciğerinizde sert kıvamlı, kenarları düzensiz, 15 mmden büyük nodül görüldüyse, bunun kanser olma şansı %50. Sigara miktarı ve yaş arttıkça bu ihtimal daha da artıyor. Oysa sigara içmeyen ve 40 yaş altındaki kişilerde böyle bir nodülün kanser olma ihtimali %10’dan daha az… Yani sigara ve yaş karar verirken dikkate aldığımız en önemli iki kriter. Diğer önemli kriterler ailede akciğer kanseri hikâyesi, amfizem varlığı, cinsiyet, nodülün sertlik derecesi ve nodülün büyüklüğü. Hatta nodüllerin kanser riskini hesaplayan internet ve cep telefonu programları var. Makalenin başında yazdığımıza geri dönelim. Tesadüfen çekilen bir göğüs tomografisinde, 45 yaşında sigara içen bir erkekte 6 mm’lik bir nodül tespit edilirse ne yapacağız?

Hiçbir şey!!!

Çünkü böyle bir nodülün kanser olma ihtimali sadece %0.4. Yani binde 4. Yapılacak en iyi şey belirli aralıklarla 1-2 kez takip etmek ve sigarayı bırakmak! Hekimlere yardımcı olmak amacıyla birçok rehberler yayınlanıyor. Bu uluslararası rehberlerde 6 mm’nin altındaki nodüllere bir girişim önerilmiyor. Yani boşu boşuna ameliyat olmuyorsunuz! Nodül 1 cm’in üzerinde ise kanser ihtimali arttığı için ya radyolojik/cerrahi biyopsi, ya da yakın takip gerekiyor. En ufak bir şüphede ameliyat ile çıkarmak hayat kurtarıcı oluyor. Akciğerler, vücuttaki tüm kanın içinden geçtiği narin organlar. Kanser geliştiğinde, bu yaygın damar ağı hastalığın hızla yayılmasına neden oluyor. Daha küçükken hastalığı kontrol etmek önemli! Akciğerdeki çok küçük nodüllerde tedirgin olmayın, ama tedbiri de elden bırakmayın. En büyük hediye olan hayatınızı riske atmayın.

Bir yanıt yazın

E-posta adresiniz yayınlanmayacak. Gerekli alanlar * ile işaretlenmişlerdir