Prof. Dr. Selçuk Peker
-
Nöroloji-Beyin, Sinir Sağlığı
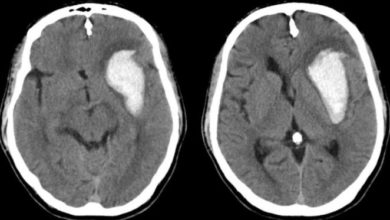
Subdural-Epidural Kanama
Kafatası kemiğinin altında beyni koruyan ‘’Dura’’ adı verilen bir zar vardır.Kafatası kemiği ile Dura arasında bir kanama varsa (Dura’nın üstündeyse)…
Devamını Oku »

