Türk bilim insanından korkutan açıklama: Geleceğimiz tehlikede

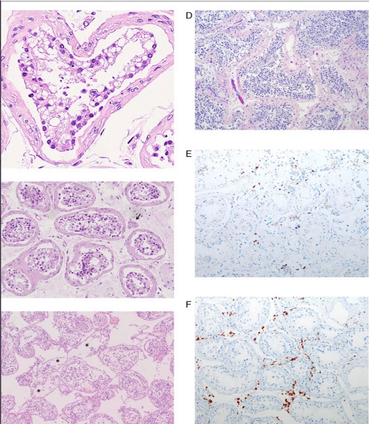
Üsküdar Üniversitesi’nden profesör Güner Sönmez, korona virüs salgını ile ilgili dikkat çeken bir paylaşımda bulundu. Sönmez tarafından paylaşılan çalışmada, korona virüs geçiren genç erkeklerin sperm üretiminde sorun yaşadığı belirtildi.
Korona virüs salgını, insan hayatını olumsuz şekilde etkilemeye devam ederken, virüs hakkında dikkat çeken bir çalışma ortaya konuldu. Science Direct tarafından yayınlanan çalışmada, korona virüs geçiren genç erkeklerin, sperm üretimi konusunda sorunlar yaşadığı aktarıldı.
Genç erkeklerde sperm üretimi hasara uğradı
Söz konusu çalışmayı sosyal medya hesabından paylaşan Üsküdar Üniversitesi Profesörü Güner Sönmez, “12 kişilik vaka serisi. Korona virüslü hastalarda; testisde spermin üretildiği seminifer tübüllerde ve sertoli hücrelerinde ciddi hasar var. Covid geçiren genç erkekler, ürolojik açıdan titizlikle değerlendirilmelidir” dedi.
Korona virüsün testislerde barınmadığı ancak hastaların sperm sayılarında anlamlı bir azalma olduğu kaydedildi.







