Ensefalit ( Beyin İltihabı ) nedir

Ensefalit, beyinde oluşan enfeksiyon sonucu beyin dokusunun iltihaplanmasıdır. Ensefalit genellikle yüksek ateş, şiddetli baş ağrısı, ense sertliği, mide bulantısı, zihinsel karışıklık ve davranış bozukluğu gibi belirtilerle kendini gösterir. Bu belirtilerle birlikte bazen, ensefalit olan kişi nöbet geçirebilir. Bazı hastalarda ise hafif grip belirtileri verdiği için ya da hiç belirti ortaya çıkarmadığı için ensefalit fark edilemez. Nadir görülen ciddi durumlarda ise ensefalit, hayatı tehdit edici boyutlara ulaşabilmektedir. Ensefalit hastalığının seyri tam olarak kestirilemediği için tanı ve tedavinin zamanında yapılması oldukça önemlidir. Ensefalit, menenjit ile birlikte olursa meningoensefalit adını alır.
Viral ensefaliti olan çoğu insanda ya hiç belirti oluşmaz ya da aşağıdaki gibi hafif grip benzeri belirtiler görülür: Baş ağrısı, ateş, kas veya eklem ağrıları, yorgunluk ya da güçsüzlük, tıbbi müdahale gerektiren daha ciddi durumlarda ise şu belirtiler ortaya çıkar: Şiddetli baş ağrısı, yüksek ateş, bilinç kaybı, zihinsel karışıklık veya ajitasyon, kişilik değişiklikleri, nöbetler geçirme, vücudun belirli bölgelerinde his ya da paralizi kaybı, kas zayıflığı, halüsinasyonlar, çift görme, kötü koku algısı, konuşma veya duyma ile ilgili sorunlar, bebek ve küçük çocuklarda ise belirti ve bulgular şunları içerebilir: Bebek kafatasının yumuşak noktalarında şişkinlik (fontanel), bulantı ve kusma, vücutta sertlik, sürekli ağlama, çocuğu elinize aldığınızda daha çok ağlaması, iştah azalması.
Ensefalitin kesin nedeni çoğunlukla bilinmemektedir. Virüsler, bakteriler, mantarlar ve parazitler bu hastalığa neden olabilmektedir. Ancak en sık görülen nedeni viral (virüs kaynaklı) enfeksiyonlardır.
Nöroşirurji Uzmanı Beyin Omurilik Sinir Cerrahisi Uzmanı Melih EROL
Ensefalit (Beyin İltihabı) yapan virüsler nelerdir?
Herpes simpleks virüsü: Herpes simpleks virüsü (HSV) iki çeşittir. HSV tip 1 (HSV – 1) daha çok ağız çevresindeki uçuk veya kabarcıklara neden olur. HSV tip 2 ( HSV – 2) ise çoğunlukla genital herpeslere neden olur. HSV- 1’e bağlı ensefalit nadir görülmekle birlikte, beyin hasarı veya ölüme neden olma potansiyeli yüksektir.
Diğer herpes virüsleri: Ensefalite neden olabilecek yaygın diğer herpes virüslerine çoğunlukla mononükleosise neden olan “Epstein-Barr virüsü” ve yaygın olarak suçiçeği ve zonaya neden olan “varisella- zoster virüsü” örnek gösterilebilir.
Enterovirüsler: Bu virüsler, genellikle grip benzeri belirtiler, göz iltihabı ve karın ağrısı gibi şikayetlere neden olan “polio” ve ”coxsackie” virüsleri içerir.
Sivrisinek kaynaklı virüsler: “Arbovirüsler” ya da “eklem bacaklı kaynaklı virüsler” sivrisinek ve diğer kan emici böcekler tarafından insana geçer. Sivrisinek yoluyla bulaşan virüsler Batı Nili, La Crosse, St Louis, batı atı ve doğu atı ensefalitleri dahil olmak üzere bir çok enfeksiyona neden olabilirler. Sivrisinekler virüsleri insan dışı bir konak yoluyla (kuş, sincap ve at gibi) insana aktarılır. Enfeksiyon belirtileri virüse maruz kaldıktan birkaç gün ile iki haftalık bir süre zarfında ortaya çıkar.
Kene kaynaklı virüsler: Keneden bulaştığı ve ensefalite neden olduğu bilinen tek virüs türü Powassan virüsüdür. Şikayetler genellikle virüse maruz kaldıktan sonraki ilk hafta içinde görünür.
Kuduz virüsü: Kuduz olan bir hayvanın insanı ısırması sonucu vücuda geçen kuduz virüsü, hızlı bir ilerleme göstererek ensefalit nedeni olabilmektedir. Virüs beyin ve omuriliğe ulaşmadan önce tedavi edilmezse, ölüme neden olmaktadır.
Çocukluk enfeksiyonları: Çocukluk çağında sıklıkla görülen kızamık, kızamıkçık ve kabakulak gibi enfeksiyonlar ikincil ensefalitin oldukça yaygın nedenleri arasında yer alır. Ancak günümüzde çocuklar için aşılama bilinci ve imkanları çoğaldığı için bu nedenden ötürü meydana gelen enfeksiyonlar nadiren görülmektedir.
Ensefalit (Beyin İltihabı) olma riskini neler artırır?
Yaş: Ensefalitin bazı türleri belli yaş gruplarında daha sık ya da daha şiddetli görülür. Genel olarak, küçük çocuklar ve yaşlılarda viral ensefalit türlerinin çoğuna karşı daha yüksek risk altındadırlar. Herpes simpleks virüslerine bağlı gelişen ensefalit ise 20 ila 40 yaşları arasındaki insanlarda daha yaygın olmaktadır.
Zayıflamış bağışıklık sistemi: HIV / AIDS virüsü taşıyanlar, bağışıklık sistemini baskılayıcı ilaç kullananlar veya başka nedenlerden dolayı bağışıklık sistemi zayıf düşen insanlar ensefalit riski altındadır.
Coğrafi bölgeler: Sivrisinek kaynaklı veya kene kaynaklı virüsler özellikle bazı coğrafi bölgelerde daha yaygındır.
Dışarıda yapılan faaliyetler: Kene ya da sivrisineklere maruz kalma ihtimali fazla olan bazı işlerde çalışan kişilerde ensefalit riski artar.
Mevsimler: Sivrisinek ve kene kaynaklı hastalıklar yazın ve sonbaharın ilk haftalarında daha yaygın olur. Bazı sıcak bölgelerde ise sivrisinekler yıl boyunca vardır.
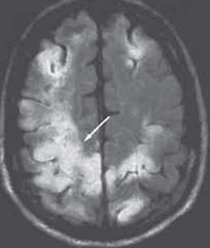
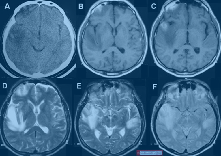
Ensefalit (Beyin İltihabı) tanısı nasıl konur?
Ensefalit tanısının konmasında en önemli basamak hastanın şikayetlerinin ve nörolojik bulgularının değerlendirilmesidir. Bunu beyin görüntülemesi, tercihen ilaçlı beyin MR’ı izler. Sıklıkla kesin tanı için de beyin omurilik sıvısının (bel suyu incelemesi de gereklidir.
Ensefalit (Beyin iltihabı ) nasıl tedavi edilir?
Ensefalit hastalarına uygulanan tedavi hastalığa yakalanan kişiye ve ensefalitin nedenine göre değişir, yaşamı devam ettirmeyi ve organ fonksiyonları korumayı amaçlar. Elektrolit-sıvı dengesinin sağlanması, nöbetlerin kontrol altına alınması, ateşin düşürülmesi gibi destek tedavileri uygulanır. Bunun yanında tedavi edilebilecek virüs sayısı sınırlıdır ve özellikle herpessimpleks virüs ensefalitinde erken tedavi hayati önem taşır. Herpes simpleks virüs ensefalitinden şüphelenilirse asiklovir tedavisi uygulanır. Ayrıca tespit edilen bazı virüsler içinde onlara yönelik özgün tedavileri uygulanır. Sitomegalo virus ensefaliti için gansiklovir, influenzaya bağlı ensefalit için de oseltamivir tedavileri kullanır.
iletişim ; op*************@*****il.com









