Ön Dişlerde Estetik Nasıl Sağlanır?

Günümüzde ışıltılı bir gülümseme arayan pek çok insan, düzgün ve beyaz dişlere ulaşmaktaki en iyi yollardan birinin de porselen tasarımlar olduğuna karar verdi.
Tüm diş hekimlerinin ortak görüşüne göre; pahalı görünmesine rağmen porselen kaplamalar ve lamineler, güzel ve estetik duruşlarının yanı sıra aslında dişlerimizi daha fazla hasardan koruyan çok uygun bir alternatif olabilir.

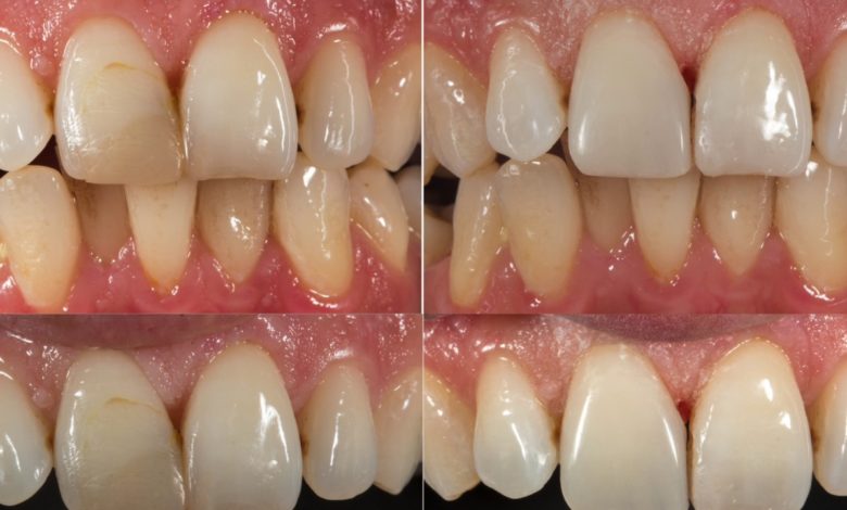
Lamineler; ön dişlerinize yapıştırılan porselen ya da rezin materyallerden yapılan ince parçacıklardır. Kırılmış, renklenmiş, çapraşık, aralıklı, dönük ya da bir şekilde şekli bozulmuş dişler için bu veneerler yıllarca sürecek kalıcı ve güzel gülüşler yaratabilir.
Lamineler zor renklenen materyaller olduğu için mükemmel gülüşler isteyen insanlar için popüler seçeneklerdir.
Porselen (indirekt) veneerler. Bu restorasyon dişinize uygun olacak şekilde kişiye özel, laboratuvarda yapılır ve hekiminize en az iki kez gitmeniz gerekir. 10-15 sene kadar kullanılabilir. Alternatiflerine göre daha pahalı olan porselen veneerler yan dişlerle daha hassas ve gerçekçi renk uyumu sunabilen seçeneklerdir. Kompozit (direkt) veneerler tek seansta dişlerinize kompozit rezin yapıştırılarak yapılan restorasyonlardır.
Kompozit veneerlerin genellikle tekrarlanması ya da porselen versiyonu ile değiştirilmesi gerekir.
Her hastaya implant yapılabilir mi?
Eğer genel sağlık koşulları uygun ise bir hastaya implant yapılabilmesi için ilk koşul yeterli kemik varlığının bulunmasıdır. Bu yeterli değilse kemik artırma teknikleri uygulanarak implant uygulaması yapılabilir. İmplant tedavisi multidisipliner bir alan olup belli bir süre almaktadır. Hasta seçimi ve hasta ile olan uyum başarı seviyesini ciddi bir şekilde etkilemektedir.
Peri implantitis nedir, nasıl önlenir?
Peri implantitis; yapılmış implantların ardından, kısa dönemde ya da orta süre içinde implantların çevresinde oluşan kemik kaybı ve enflamasyondur. Ağız bakımının kötü olması, uygun olmayan implant üstü protezler ve diş sıkma; ana nedenlerdir. Peri implantitis doğal dişlerde olduğu gibi çeşitli tedavi protokolleri ile tedavi edilebilir.






