sak
-
Göğüs Hastalıkları
Öksürük ve Tedavisi
Öksürük için evde neler yaparsak iyi gelir? Öksürük ilk başladığında evde alınabilecek basit tedbirler şunlardır: Öncelikle bol ılık su içilmesi…
Devamını Oku » -
Psikiyatri – Ruh Sağlığı
Psikodrama Grup Terapileri
Psikodramada insanlar arası ilişkiler çalışılır. Amaç anne, baba, eş, çocuk, komşular, arkadaşlar, iş arkadaşları ile daha iyi iletişim kurabilmenin yollarını…
Devamını Oku » -
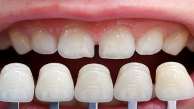
Ağız ve Diş Sağlığı
Laminate Veener
Laminate veneerleri hanımların takma tırnakları şeklinde düşünebiliriz. Lamina Latince Kökeni olarak yaprak anlamına gelmektedir. Gülüş tasarımında, hafif çapraşıklıkların, ayrık dişlerin…
Devamını Oku »


